Abstract
Introduction: Myeloproliferative neoplasms (MPN) are clonal hematopoietic stem cell (HSC) disorders characterized by hyperactive JAK/STAT signaling and increased risk of transformation to myelofibrosis (MF) and acute myeloid leukemia (AML). However, mechanisms driving progression remain elusive and therapies are ineffective after leukemic transformation. The High Mobility Group A1 (HMGA1) gene encodes oncogenic chromatin regulators which are overexpressed in diverse tumors where they portend adverse outcomes (Resar Cancer Res 2010; Xian et al Nature Commun 2017). Hmga1 induces leukemic transformation in transgenic mice and HMGA1 is overexpressed in refractory myeloid malignancies (Resar et al Cancer Res 2018). Further, germline lesions within the HMGA1 loci increase the risk for developing MPN (Bao et al Nature 2020). We therefore sought to: 1) test the hypothesis that HMGA1 drives MPN progression by rewiring transcriptional networks to foster leukemogenesis, and, 2) identify mechanisms underlying HMGA1 that could be targeted with therapy.
Methods: To elucidate the function of HMGA1, we disrupted HMGA1 expression via CRISPR/Cas9 or short hairpin RNA (shRNA) targeting 2 different sequences per gene and assessed proliferation, colony formation, apoptosis, and leukemogenesis. We also generated JAK2 V617F transgenic mouse models of MF with Hmga1 deficiency. To dissect molecular mechanisms underlying HMGA1, we integrated RNAseq, ATACseq, and chromatin immunoprecipitation (ChIP) from MPN-AML cell lines (DAMI, SET-2). Next, we tested whether HMGA1 depletion synergizes with ruxolitinib in preventing leukemic engraftment in mice. To identify drugs to target HMGA1 networks, we applied the Broad Institute Connectivity Map (CMAP).
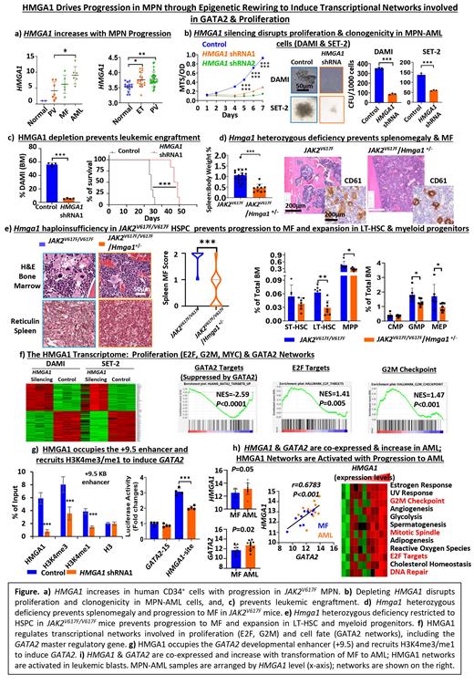
Results: HMGA1 is overexpressed in CD34 + cells from patients with JAK2 V617F MPN with highest levels after transformation to MF or AML in 3 independent cohorts. CRISPR/Cas9 inactivation or shRNA-mediated HMGA1 silencing disrupts proliferation, decreases the frequency of cells in S phase, increases apoptosis, and impairs clonogenicity in human MPN-AML cell lines. HMGA1 depletion also prevents leukemic engraftment in mice. Surprisingly, loss of just a single Hmga1 allele prevents progression to MF in JAK2 V617Fmurine models of MPN, decreasing erythrocytosis, thrombocytosis, and preventing splenomegaly and fibrosis of the spleen and bone marrow. Further, Hmga1 deficiency preferentially prevents expansion in long-term HSC, granulocyte-macrophage progenitors, and megakaryocyte-erythroid progenitors in JAK2 V617F mice. RNAseq revealed genes induced by HMGA1 that govern cell cycle progression (E2F targets, mitotic spindle, G2M checkpoint, MYC targets) and cell fate decisions (GATA2 networks), including the GATA2 master regulator gene. Silencing GATA2 recapitulates anti-leukemia phenotypes observed with HMGA1 deficiency whereas restoring GATA2 in MPN-AML cells with HMGA1 silencing partially rescues leukemia phenotypes, increasing clonogenicity and leukemic engraftment. Mechanistically, HMGA1 binds directly to AT-rich sequences near the GATA2 developmental enhancer (+9.5), enhances chromatin accessibility, and recruits active histone marks (H3K4me1/3) to induce GATA2 expression. HMGA1 depletion enhances responses to the JAK/STAT Inhibitor, ruxolitinib, delaying leukemic engraftment and prolonging survival in murine models of JAK2 V617F MPN-AML. Further, epigenetic drugs predicted to target HMGA1 transcriptional networks using CMAP synergize with JAK inhibitors to disrupt proliferation in human MPN-AML cells. HMGA1 and GATA2 are co-expressed and up-regulated with progression from MF to AML in matched patient samples. Moreover, HMGA1 transcriptional networks are activated in leukemic blasts, thus underscoring the role of HMGA1 in human MPN progression.
Conclusions: We uncovered a previously unknown epigenetic program whereby HMGA1 enhances chromatin accessibility and recruits activating histone marks to induce transcriptional networks required for progression in MPN, including direct transactivation of GATA2. Further, HMGA1 networks can be targeted with epigenetic therapy and synergize with ruxolitinib. Together, our studies reveal a new paradigm whereby HMGA1 up-regulates GATA2 and proliferation networks to drive disease progression and illuminate HMGA1 as a novel therapeutic target in MPN.
Rampal: Jazz Pharmaceuticals: Consultancy; Incyte: Consultancy, Research Funding; Kartos: Consultancy; Constellation: Research Funding; Pharmaessentia: Consultancy; Blueprint: Consultancy; Disc Medicine: Consultancy; Stemline: Consultancy, Research Funding; BMS/Celgene: Consultancy; Novartis: Consultancy; Sierra Oncology: Consultancy; CTI: Consultancy; Abbvie: Consultancy; Memorial Sloan Kettering: Current Employment. Stubbs: Incyte Research Institute: Current Employment, Current holder of individual stocks in a privately-held company.

This feature is available to Subscribers Only
Sign In or Create an Account Close Modal